name
input
output
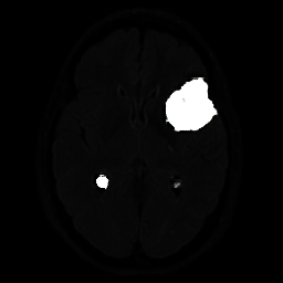
1_IM-0001-0013-0001.dcm
1_IM-0001-0015-0001.dcm
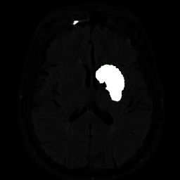
2_IM-0001-0012-0001.dcm
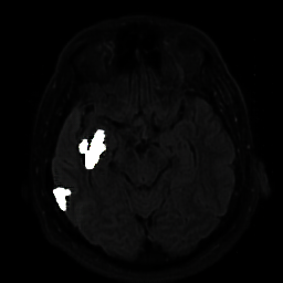
3_IM-0001-0014-0001.dcm
3_IM-0001-0017-0001.dcm
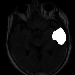
4_IM-0001-0011-0001.dcm
4_IM-0001-0014-0001.dcm
5_IM-0001-0016-0001.dcm
5_IM-0001-0020-0001.dcm